PURPURA TROMBOCITOPENIA
La
púrpura trombocitopénica idiopática es un trastorno que puede provocar exceso
de hematomas y sangrado. El sangrado se debe a niveles anormalmente bajos de
plaquetas: las células que ayudan a coagular la sangre.
La
púrpura trombocitopénica idiopática, también llamada trombocitopenia inmune,
afecta a niños y adultos. Los niños con frecuencia contraen púrpura
trombocitopénica idiopática después de una infección viral y, por lo general,
se recuperan totalmente sin tratamiento. En el caso de los adultos, el trastorno
suele ser a largo plazo (crónico).
Si
no tienes signos de sangrado y tu recuento de plaquetas no es demasiado bajo,
es posible que no necesites tratamiento. En casos raros, el recuento de
plaquetas puede ser tan bajo que se produce un sangrado interno peligroso. Hay
opciones de tratamiento disponibles
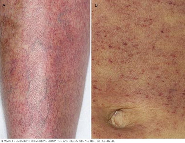
Síntomas
La púrpura trombocitopénica
idiopática puede no tener signos ni síntomas. Cuando aparecen, pueden incluir
los siguientes:
·
Tendencia a tener moretones o exceso de moretones (púrpura)
·
Sangrado superficial en la piel que parece sarpullido de manchas de
color púrpura rojizas del tamaño de puntitos (petequias), normalmente en la
parte baja de las piernas
·
Sangrado de encías o nariz
·
Sangre en la orina o heces
·
Flujo menstrual raramente denso

Comentarios
Publicar un comentario